Protesi monocompartimentale di ginocchio
La protesi monocompartimentale è la soluzione più adatta per curare la gonartrosi, una malattia degenerativa della cartilagine del ginocchio, quando è limitata a un solo compartimento, mediale o laterale. Con l’aumento della durata della vita media molte persone vengono colpite in modo importante da gonartrosi, cioè l’artrosi di ginocchio. Si tratta di una malattia degenerativa della cartilagine che riveste le superfici articolari che culmina con l’infiammazione dell’articolazione. Il risultato è che, con il passare del tempo, a causa del processo degenerativo, le ossa del ginocchio coinvolte nel movimento finiscono prive del proprio rivestimento arrivando a contatto le superfici ossee e infiammando l’articolazione. Questa condizione degenerativa al ginocchio porta a un significativo peggioramento della qualità della vita del paziente, al punto da poter definire la gonartrosi come una malattia invalidante. Quando per motivi anatomici (ginocchio varo o valgo), iatrogeni (precedenti meniscectomie) o idiopatici si arriva all’usura di un solo compartimento femoro-tibiale del ginocchio può esserci indicazione a impiantare una protesi monocompartimentale. Si tratta di un tipo di intervento chirurgico minimamente invasivo in cui si va a sostituire solo la parte danneggiata del ginocchio con un piccolo impianto, operando una rivestimento parziale del ginocchio.
- mediale: è compresa la parte interna del ginocchio;
- laterale: è quella che risiede nella parte esterna del ginocchio.
Andando a sostituire solo una parte del ginocchio, evitando dunque una sostituzione totale dell’articolazione, l’intervento sarà senza dubbio meno invasivo e si avranno tempi di recupero molto più rapidi.
In cosa consiste l’intervento
Durante l’intervento si va a operare nel compartimento danneggiato con l’intento di ricostruire le parti danneggiate posizionando un rivestimento sulla parte del femore e un piatto tibiale costituti da leghe di titanio con un inserto di polietilene ad altissima densità. Grazie a questi materiali ultramoderni e tecnologici si riesce a ricreare la forma nativa del ginocchio. In questo modo cartilagine, ossa e legamenti ancora sani vengono preservati.
Con questo tipo di intervento si ottengono risultati molto soddisfacenti nella maggior parte dei casi. I tassi di successo della sostituzione del ginocchio monocompartimentale sono, infatti, altissimi. Senza contare che si andrà incontro a:
- recupero più rapido;
- perdita minore di sangue;
- minori sintomatologie dolorose dopo l’intervento chirurgico
- sensazione da parte del paziente di percepire un ginocchio “più naturale”.
Ovviamente se l’artrosi ha colpito anche altri compartimenti non vi è indicazione a eseguire una protesi monocompartimentale. Ovviamente la scelta della tipologia di impianto è riservata all’ortopedico che dovrà valutare al meglio il caso specifico del paziente.
Anche se l’artrosi si è sviluppata in un solo comparto del ginocchio, non tutti i pazienti sono idonei a questo tipo di intervento.
Vi sono pazienti che sono afflitti da artrosi infiammatoria cronica di tipo reumatico a cui non è consigliabile questo tipo di intervento, così come casi in cui la rigidità del ginocchio è diventata oramai troppo elevata o hanno riportato danni ai legamenti. Infatti per poter impiantare una protesi monocompartimentale il ginocchio deve avere un’estensione pressocchè totale, avere un legamento crociato anteriore biomeccanicamente valido, avere una deformità in varo o valgo non eccessiva e comunque riducibile, non deve esserci un’importante osteoporosi e un’obesità grave; impiantando una protesi monocompartimentale nelle suddette condizioni si avrà il fallimento dell’impianto.
Il paziente ideale per questo tipo di intervento deve essere selezionato con cura in base a tutti gli esami medici del caso. Per questa ragione è importante seguire una procedura corretta che proceda a step.
La valutazione ortopedica
Base fondamentale per arrivare a qualunque tipo di intervento è una valutazione approfondita di un chirurgo ortopedico competente.
Lo specialista ortopedico deve valutare per prima cosa la storia medica del paziente, considerando la salute generale dello stesso. Successivamente misura anche il dolore percepito dal paziente e il grado di funzionalità del ginocchio, specialmente nella zona interessata dal dolore:
- se il dolore si concentra soltanto su una delle parti interessate (esterna, interna o anteriore) il paziente potrebbe essere un candidato per una sostituzione monocompartimentale del ginocchio;
- se il dolore si presenta in tutte le parti del ginocchio, probabilmente sarebbe più indicata una sostituzione totale dell’articolazione.
Solitamente, dopo aver appurato la zona interessata dal dolore, l’ortopedico esegue un esame fisico in modo da valutare la gamma di movimenti e le condizioni dei legamenti. Come abbiamo anticipato, se troverà i legamenti del ginocchio lesionati o fragili, o se dovesse riscontrare una rigidità del ginocchio in stato avanzato, si potrebbe optare verso una protesi totale.
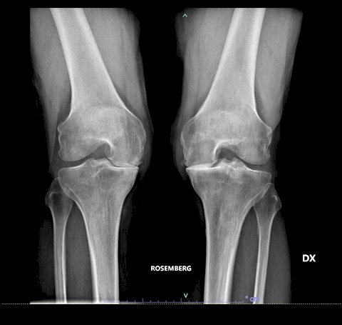
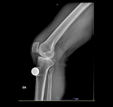
Una volta che l’ortopedico si è fatto un’idea delle funzionalità del ginocchio è necessario eseguire un primo esame diagnostico attraverso i Raggi X, al fine di valutare l'entità del danno presente. Alcuni casi spingono i chirurghi a richiedere anche un’indagine diagnostica più approfondita attraverso una risonanza magnetica, al fine di valutare le condizioni di cartilagine e legamenti.
In basso le lastre preoperatorie di un pz con gonartrosi mediale.


Come si svolge l’intervento
Con l’obiettivo di ridurre al massimo l’invasività dell’intervento si cerca di limitare al minimo il tempo che il paziente dovrà passare in ospedale e per questa ragione sono state sviluppate procedure ultra rapide.
Solitamente il ricovero del paziente inizia il giorno stesso dell’intervento. L’anestesia viene effettuata somministrando basse dosi di oppiacei anche qui per garantire un recupero più rapido.
L’intervento chirurgico vero e proprio solitamente dura meno di 1 ora e non costringe il paziente a interventi particolarmente traumatici.
Viene fatta un’incisione nella parte anteriore del ginocchio, attraverso la quale è possibile effettuare una breve analisi della situazione di legamenti e dei compartimenti, e si conferma ‘in loco’ la sostituzione monocompartimentale.
Ovvero: se, come quasi sempre accade, durante l’intervento vengono confermate le condizioni evidenziate dagli esami, si procede con la sostituzione parziale, altrimenti si può cambiare piano ed eseguire una sostituzione totale del ginocchio. Ovviamente questa evenienza sarà comunque discussa con il paziente prima dell’operazione, al fine di non eseguire interventi che la persona interessata non approvi.
La prima fase dell’intervento è quella della preparazione dell’osso: si va a lavorare millimetricamente la cartilagine residua del compartimento danneggiato per poi andare a sostituire la stessa e l’osso con rivestimenti metallici che vanno a ricreare la superficie dell’articolazione.
L’inserto in polietilene ad altissima densità viene posto tra i 2 componenti metallici in modo da creare una superficie impeccabile: liscia e scorrevole. In questa fase il chirurgo valuta lo spessore dell’inserto in modo da adattarlo al volume cartilagineo originario del paziente trattato.
Post operazione
Il paziente si sveglia nella sala di risveglio dove vengono valutate tutte le fasi del dissolvimento della sedazione. Vengono inoltre eseguite radiografie di controllo per poi passare alla camera di degenza.
Chi viene sottoposto a questo tipo di operazione al ginocchio, monocompartimentale, tendenzialmente percepisce meno dolore nella fase post operatoria rispetto a chi esegue la sostituzione completa. Meno dolore e minor gonfiore si traducono spesso anche in tempi di riabilitazione più rapidi e risultati ottimali: solitamente i pazienti tornano a casa entro da 1- a 3 giorni dopo l’operazione.
Ovviamente dopo l’intervento si avvertiranno dei dolori, controllabili con farmaci prescritti dal medico in base al profilo del paziente. La gestione del dolore è importante per migliorare anche l’aspetto psicologico del paziente che, non avendo disturbi di rilievo, si impegnerà maggiormente nella riabilitazione.
Il chirurgo ortopedico potrebbe decidere di suggerire al paziente di utilizzare un bastone, delle stampelle per i primi giorni dopo l’operazione. Vi è comunque da segnalare che fin da subito è possibile caricare il peso sul ginocchio senza dover temere nulla.
È ovviamente necessario eseguire degli esercizi di riabilitazione che verranno spiegati al paziente da un fisioterapista competente, al fine di ripristinare nel più breve tempo possibile tutte le funzionalità e la massima forza.
Dopo l’intervento il chirurgo programma alcune visite mediche periodiche al fine di valutare il processo di recupero dell’articolazione operata.
Gli esiti e i tempi di recupero sono molto soggettivi, ma solitamente dopo un’operazione monocompartimentale al ginocchio i pazienti riprendono tutte le normali attività entro 6 settimane dall’intervento.
Possibili complicazioni
Ovviamente anche questo tipo di intervento, come tutti gli interventi chirurgici, presenta una serie di possibili complicazioni, seppure in percentuali assolutamente basse. Il chirurgo ortopedico è tenuto a prospettare questi eventuali rischi al paziente, illustrando anche le misure specifiche che si andranno ad implementare per evitare complicazioni.
È possibile che in questo tipo di intervento si vadano a creare dei coaguli di sangue nelle vene delle gambe, per questa ragione vengono somministrati dei fluidificanti del sangue, come l’eparina a basso peso molecolare.
In ogni intervento chirurgico esiste la possibilità di un’infezione nella pelle sopra la ferita o in profondità. Per scongiurare questa evenienza vengono solitamente somministrati degli antibiotici.
Ovviamente sono da prendere in esame anche i rischi legati all’anestesia seppure, come abbiamo già anticipato, si cerca di ridurre al minimo l’uso di oppiacei.


Scrivi al Dr. Piergiorgio Calella
Protesi monocompartimentale di ginocchio